loader
Navn*
E-post*
Telefon*
Melding

Tannfraktur

Tenner med store fyllinger
I tenner med store fyllinger, er tannsubstansen rundt fyllingen svekket. Når man tygger, kan det etter hvert utvikles tynne sprekker i tannen. Disse sprekkene utvikler seg under fyllingen og forløper vanligvis på skrå bort fra tann-nerven. Over tid kan slike sprekk- dannelser medføre at en del av tannen knekker og faller ut. I noen tilfeller knekker tannen fordi man tygger på noe hardt, men ofte er dette ikke tilfelle. Det er heller den totale belastningen over tid som er utslagsgivende og tidspunktet for tannfrakturen er ofte tilfeldig.


Dersom en tann knekker på denne måten, bør man kontakte tannlege snarest for å få den reparert.

Rotfylte tenner
Tenner som er rotfylt, eller som er under rotfyllingsbehandling, er særlig utsatt for å knekke. Slike tenner har ofte hatt store og dype hull som er reparert med fyllinger. Derfor vil den gjenstående tannsubstansen være svekket. Når tannen skal rotfylles, må det i tillegg lages en åpning inn til nerven som vil medføre en ytterligere svekkelse av tannen. Man ser også at tannen ”tørker ut” når nerven er renset bort, noe som kan bidra til en utvikling av allerede eksisterende sprekkdannelser.

En tann som er underveis i rotfyllingsbehandling, er fylt med en bakteriedrepende salve og tettet igjen med en midlertidig fylling. Dersom noe av tannen eller den midlertidige fyllingen knekker, er det fare for at nye bakterier kan komme inn og infisere tannen på ny. Man bør derfor snarest ta kontakt med tannlege hvis dette skulle skje.

Fylling som knekker

På samme måte som tenner, kan også fyllinger knekke. Dette kan for eksempel skje om man er uheldig og belaster fyllingen for hardt ved tygging. Ofte ser man imidlertid at fyllingen da er svekket i forkant, for eksempel ved at den har et hull i kanten. En fylling med hull i kanten vil tåle mindre tyggetrykk og knekke lettere.

Det er viktig å kontakte tannlege snarest om man har en knekt fylling. Dette er særlig viktig dersom den frakturerte fyllingsbiten blir liggende på plass. Det vil da være umulig å holde rent og et eventuelt hull under fyllingen vil raskt bli større.

Behandling av knekt tann


 

Fyllingsterapi
I mange tilfeller kan en knekt tann repareres med en fylling. Man vil først fjerne den gamle fyllingen i tannen og deretter bygge opp med en tannfarget fylling i plast (kompositt).

Porselensinnlegg
Et innlegg er en tannrestaurering som kan brukes som et alternativ til tannfargede fyllinger i plast. Det benyttes til å reparere tenner som er frakturert eller skadet av et hull. Først må tannen slipes til. Det tas så et avtrykk før tannen dekkes med et midlertidig fyllingsmateriale. Avtrykket sendes deretter til en tanntekniker som er den som lager selve innlegget. Etter 1-2 uker er innlegget ferdig og kan sementeres på plass. Et innlegg regnes som en mer holdbar behandling, sammenliknet med en vanlig fylling i plast.

Kroneterapi
Dersom tannen er veldig svekket, kan det vise seg at en stor fyllingsoppbygging ikke vil være sterk nok. Dette kan særlig gjelde for rotfylte tenner. Da kan en keramisk krone (porselenskrone) være et bedre alternativ. Å få fremstilt en keramisk krone innebærer at tannen slipes og formes til slik at en porselenstann kan sementeres utenpå.


Porselenstannen lages av en tanntekniker og er sterkere og penere i forhold til en vanlig fylling. Prosessen er imidlertid tidkrevende og teknisk vanskelig både for tannlegen og tannteknikeren. Det er derfor prisen for en krone er høyere enn for en vanlig fylling.
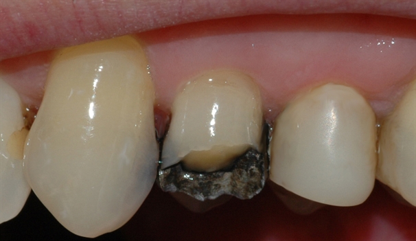
  • stor cuspefraktur 2
    stor cuspefraktur 2

    Bildet viser at en tyggeknute til en tann i overkjeven har frakturert. Tannen var svekket på grunn av en stor amalgamfylling.

  • stor cuspefraktur 3
    stor cuspefraktur 3

    Bildet viser at den gjenstående amalgamfyllingen er fjernet, og at tannen er bygget opp igjen med en plastfylling.

  • stor cuspefraktur 4
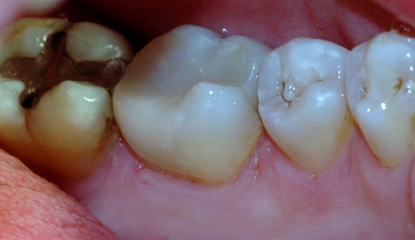
    stor cuspefraktur 4

    Bildet viser en jeksel i underkjeven med en stor amalgamfylling. Det går en tydelig bruddlinje langs den ene tyggeknuten.

  • stor cuspefraktur 5
    stor cuspefraktur 5

    Bruddlinjen førte over tid til at tannen frakturerte.

  • stor cuspefraktur 6
    stor cuspefraktur 6

    Den gjenstående amalgamfyllingen ble fjernet, og tannen ble bygget opp igjen med en plastfylling.