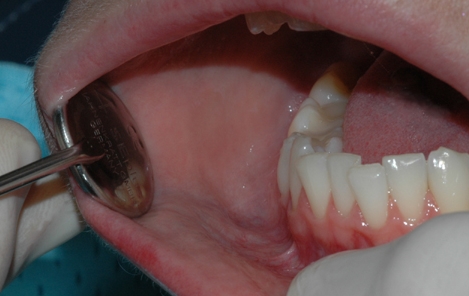
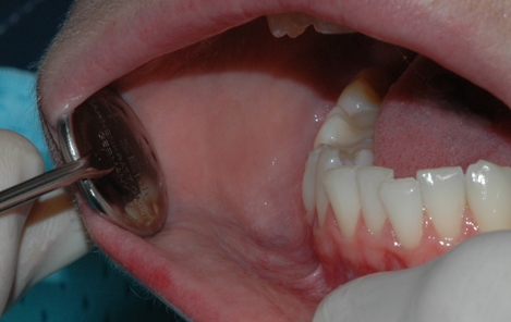
Tannlegen undersøker hver enkelt tann etter hull og skader
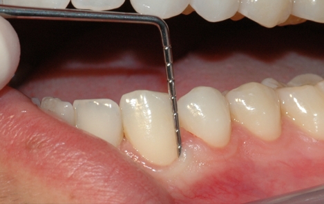
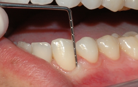
Tannkjøttet og tennenes benfeste blir vurdert
Tunge og slimhinner kontrolleres for å konstatere at alt er normalt
Kjeveledd og tyggemuskulatur kontrolleres også. Dette er spesielt viktig dersom pasienten er plaget med tanngnissing og spenningshodepine
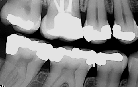
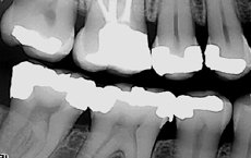
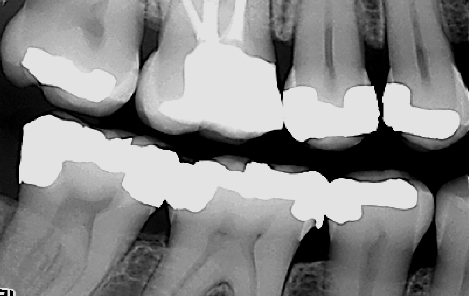
Røntgenbilder viser blant annet begynnende hull, behandlingskrevende hull, gamle fyllinger og tennenes benfeste