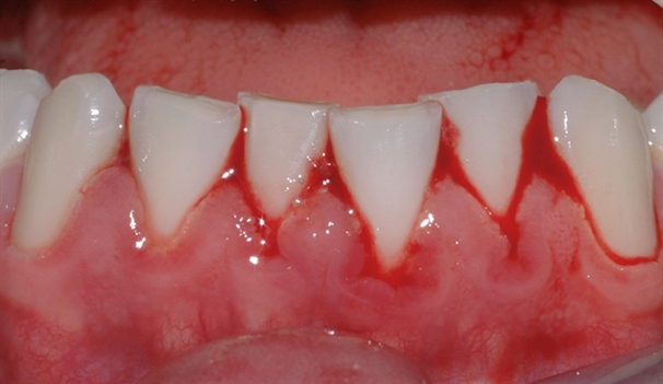
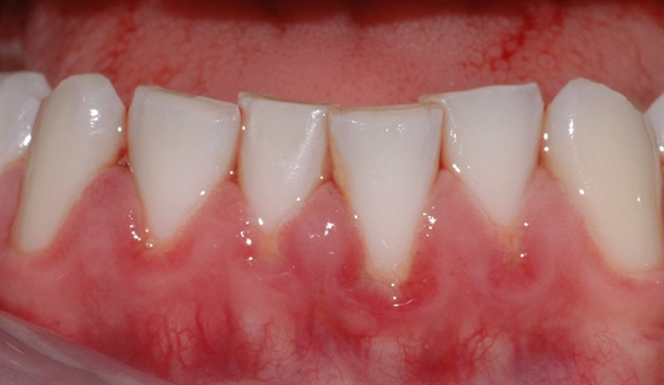
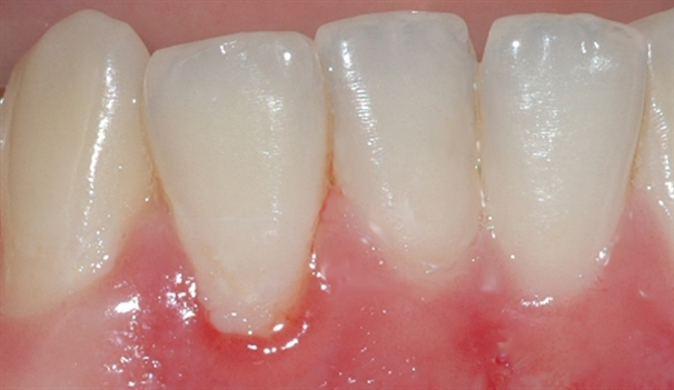
Bildet viser belegg langs tannkjøttet på en fortann i underkjeven. Tannkjøttet er noe rødt og hovent.
Når man berører tannkjøttet, begynner det lett å blø.
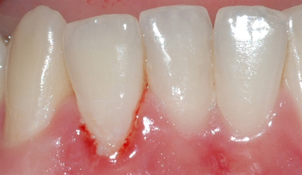
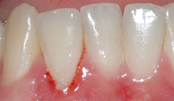
Ved å benytte et fargestoff, kan man lettere se belegget som er årsak til betennelsen i tannkjøttet.
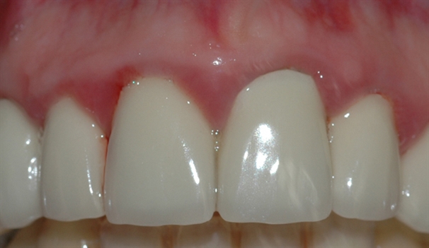
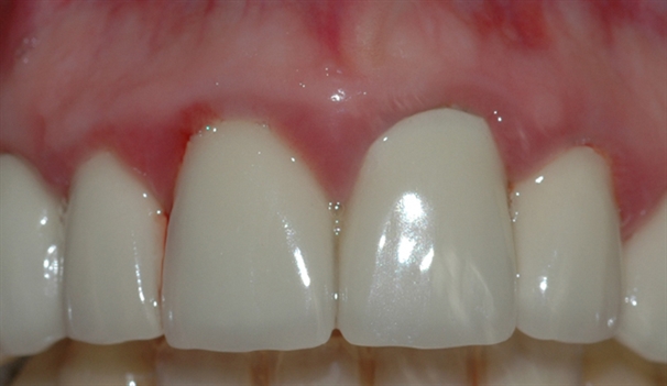
Bildet viser tannkjøtt i overkjeven med kraftigere og mer utbredt betennelse.
Tannkjøttet begynner lett å blø ved berøring.
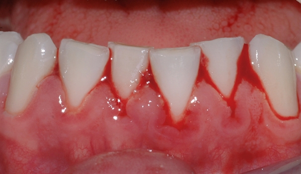
Bildet viser hvordan belegg har ført til rødt og hovent tannkjøtt ved flere tenner.
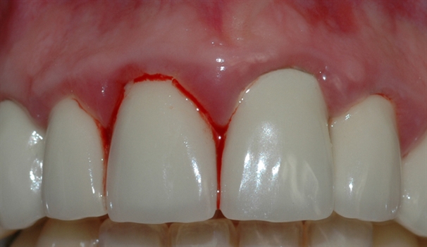
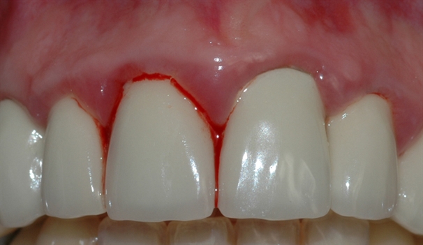
Tannkjøttet blør kraftig når pasienten pusser tennene. Ved godt renhold over tid, vil betennelsen forsvinne.