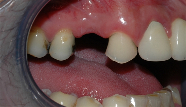
Bildet viser en manglende tann i overkjeven. Nabotennene har fyllinger og tilfellet egner seg derfor godt for brobehandling.
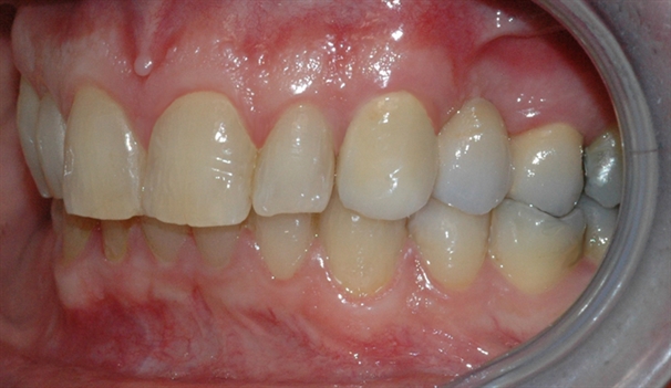
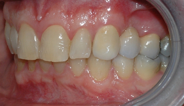
Bildet viser at den ferdige broen er sementert på plass. Form og farge passer godt med nabotennene.
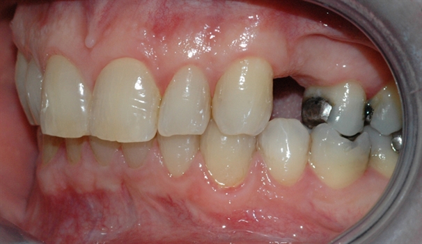
Bildet viser en manglende tann i overkjeven. Nabotennene har fyllinger og slitasje, og tilfellet egner seg derfor godt for brobehandling.
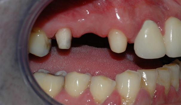
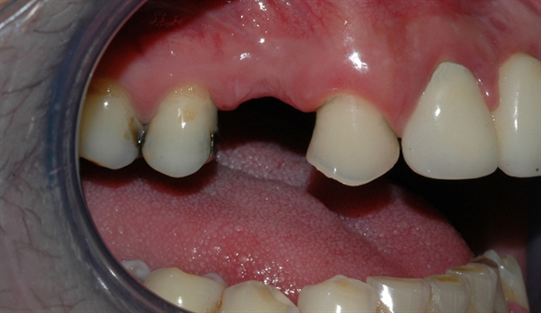
Festetennene slipes og klargjøres for broen.
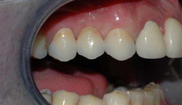
Bildet viser at broen er sementert fast og klar for bruk.