Karies er en svært vanlig tannsykdom som ubehandlet kan medføre store plager. Sykdommen innebærer at tannsubstans løses opp av syre som produseres av bakterier i munnhulen. Heldigvis er det mye man selv kan gjøre for å motvirke og forebygge karies.
Tannens oppbygning
En tann består av flere lag. Ytterst har vi et sterkt, beskyttende lag kalt emalje. Deretter kommer et noe mykere lag kalt dentin. Lengst inne har vi et hulrom fylt med nerver og blodkar, kalt pulpa.

Utvikling av karies
I munnen finnes mange typer bakterier med ulike roller og egenskaper. Enkelte av disse kan feste seg til tennenes overflate og etter hvert danne et bakteriebelegg, kalt plakk. I plakket kan bakteriene produsere syre ved hjelp av sukker fra maten vi spiser. Dersom bakteriebelegget ikke fjernes ofte og grundig nok, vil syren begynne å løse opp tannemaljen, og sakte, men sikkert vil hullet i tannen utvikles.
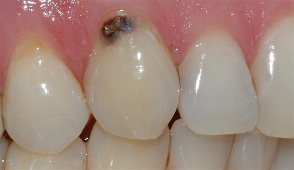
Et begynnende hull kan sees som et lite, hvitt, matt felt på en intakt tannflate. På dette stadiet er det ikke nødvendig med fyllingsbehandling. Derimot kan et fornuftig kosthold, grundig renhold og ekstra fluortilførsel stanse utviklingen av kariesangrepet. Så lenge emaljen ikke har brutt sammen, kan man forsøke å stanse kariesangrepet på denne måten.
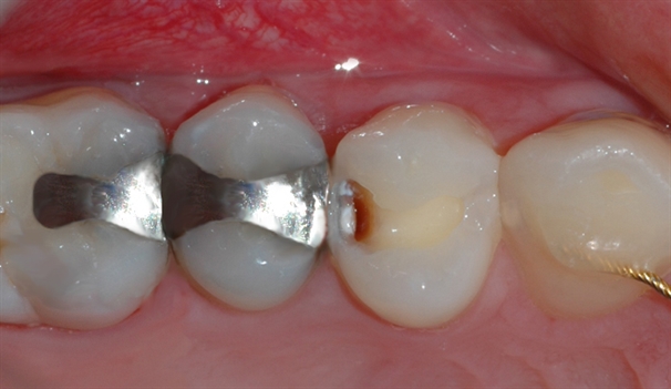
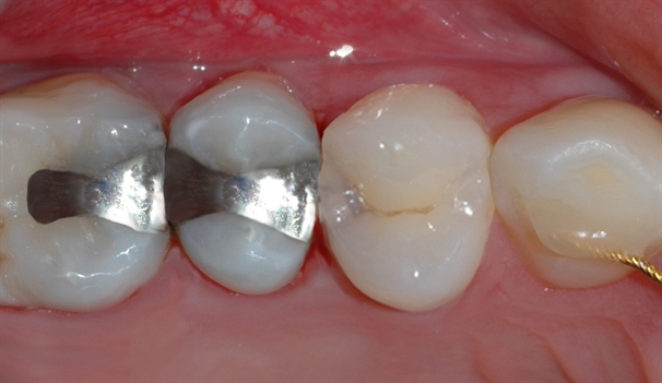
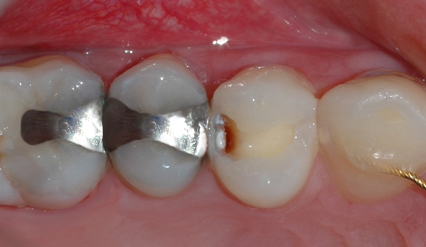
Over tid kan imidlertid emaljen bli så porøs at den bryter sammen og det dennes et ”hull”. Nå kan bakteriene angripe dentinet (tannbenet) i tannen. Denne delen av tannen er mykere enn emaljen og utviklingen vil gå fortere. Det er derfor nødvendig å stanse hullet med en fylling.
Ubehandlet karies vil etter hvert strekke seg inn til tannens pulpa. Når dette skjer, vil pulpa infiseres av bakterier og gradvis dø. Denne prosessen kan være svært smertefull og gi kraftig tannverk. I slike tilfeller kan rotfylling være nødvendig dersom tannen skal beholdes.
Hvordan forebygge karies?
Renhold

Mange faktorer spiller inn når det gjelder å forebygge karies. For det første er det viktig med godt renhold. Rengjøring av tennene tar sikte på å fjerne plakket og de syreproduserende bakteriene. Samtidig fjernes matrester som bakteriene kan bruke som næring. I tillegg til grundig bruk av tannbørsten, bør man også holde det daglig rent mellom tennene. Alt etter hvor tett tennene står, kan man bruke tanntråd, tannstikker eller mellomromsbørster. Tannlegen eller tannpleieren kan hjelpe til å finne ut hva som egner seg best.
Kosthold

De syreproduserende bakteriene bruker sukker som næring. Man bør derfor ta hensyn til dette når man spiser og drikker og redusere mengden sukker i kosten. I tillegg bør man ikke småspise mellom måltidene, da dette vil medføre hyppigere syreproduksjon og slik utgjøre en større belastning for emaljen. Særlig bør man unngå stadig inntak av brus eller sukkerholdige sportsdrikker (brusflaske med skrukork kan være særlig ugunstig for tennene).
Fluor

Fluor styrker tannemaljen og er derfor viktig for forebygging av karies. For mange er det tilstrekkelig å bruke tannpasta som inneholder fluor. Om man lett får hull i tennene, kan det derimot være nødvendig med ekstra fluor. Dette kan tilføres med for eksempel fluortabletter, fluorskyll, eller via pensling av effektiv fluorlakk hos tannlegen eller tannpleieren.
Andre årsaker
Det er også andre faktorer som er avgjørende for hvor lett man får hull i tennene. Eksempler på slike faktorer kan være spyttets evne til å nøytralisere syre, mengden spytt man produserer, samt hvilke bakterier man har i munnen. Slik kan man si at også arv har betydning for hvor lett man får hull i tennene.
Om man har begynnende hull, er det viktig å få kontrollert tennene regelmessig hos tannlege eller tannpleier. Slik kan man fange det opp dersom de begynnende hullene utvikler seg videre og blir større.