loader
Navn*
E-post*
Telefon*
Melding

Utskifting av synlige fyllinger

Utskifting av amalgamfyllinger:



Tidligere var det vanlig å bruke amalgam som fyllingsmateriale. Amalgamfyllinger er gråsvarte på farge og skiller seg derfor ut i tannrekken. I tillegg kan man ofte se at tannsubstansen rundt fyllingen får et blålig skjær. Om man ønsker det, kan man skifte ut synlige amalgamfyllinger med mer estetiske alternativer. I mange tilfeller kan en tannfarget fylling i plast (kompositt) være en god løsning.

Dersom amalgamfyllingen er stor, kan det alternativt brukes et porselensinnlegg eller en keramisk krone. Disse er sterkere og penere enn fyllinger i plast, men også vesentlig dyrere.

Utskifting av tannfargede fyllinger:




Når det gjelder plastfyllinger, kan disse over tid endre farge slik at de skiller seg ut i forhold til tannen. Dersom fyllingene ligger på lett synlige tannflater, kan dette virke skjemmende i et ellers pent smil. Særlig er overgangen mellom tann og fylling utsatt for misfarginger. Her kan fargestoffer fra kaffe, te, røyk osv. med tiden trenge inn og gjøre fyllingene mer synlige. Dersom dette ikke kan korrigeres med puss og polering, kan fyllingene i stedet skiftes. De nye fyllingene legges da med en farge som er mest mulig lik tannfargen.


Utskifting av fyllinger etter tannbleking:



De fleste som prøver tannbleking får lysere tenner. Hvor mye lysere tennene blir, varierer fra person til person. Det er viktig å vite at fyllinger ikke endrer farge ved tannbleking. Dersom tennene responderer godt på blekingen og blir markert lysere, vil derfor plastfyllinger på tennenes fremside tre tydeligere frem. For å oppnå et godt sluttresultat, kan det derfor vise seg nødvendig å skifte synlige plastfyllinger etter at blekingen er gjennomført.
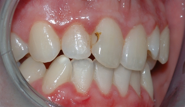
  • Utskifting 1
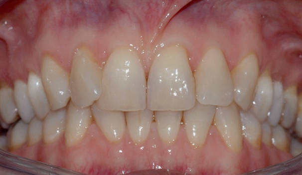
    Utskifting 1

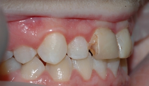
    Bildet viser tenner i overkjevens front med diverse synlige fyllinger. Pasienten ønsket å bytte fyllingene da de virket skjemmende i et ellers pent smil.

  • Utskifting 2
    Utskifting 2

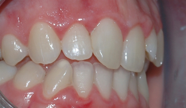
    Bildet viser resultatet etter utskifting av de synlige fyllingene.

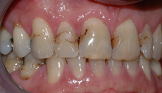
  • Utskifting 3
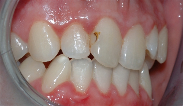
    Utskifting 3

    Bildet viser en utett og misfarget fylling på en fortann.

  • Utskifting 4
    Utskifting 4

    Bildet viser resultatet etter at fyllingen er skiftet.

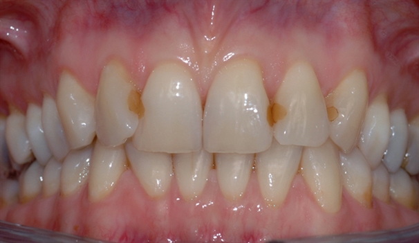
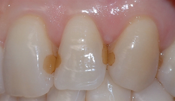
  • utskifting 5
    utskifting 5

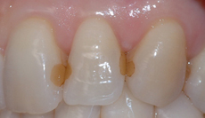
    Bildet viser hvordan misfargede fyllinger skiller seg fra tannfargen.

  • utskifting 6
    utskifting 6

    Bildet viser hvordan en dårlig tilpasset fylling kan samle misfarging og belegg.

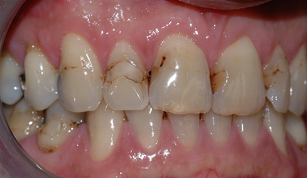
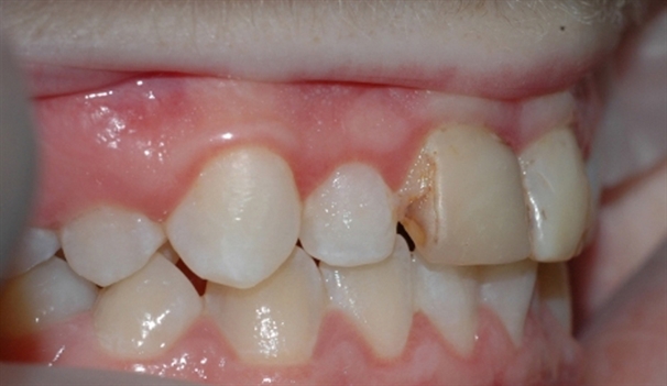
  • utskifting 7
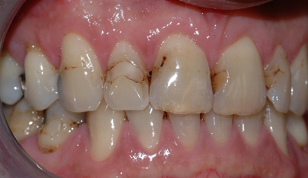
    utskifting 7

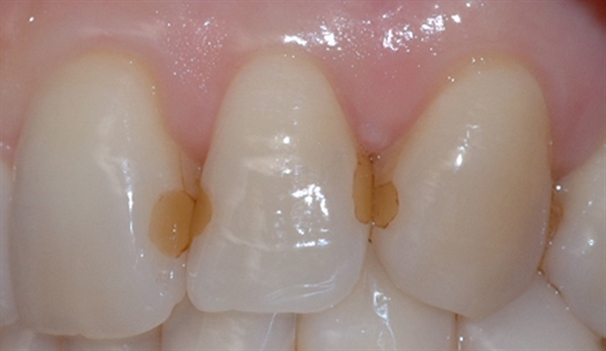
    Bildet viser tenner med diverse synlige fyllinger. Flere av fyllingene er dårlig tilpasset og har hull i kantene.

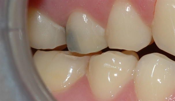
  • utskifting 8
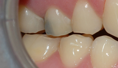
    utskifting 8

    Bildet viser en tann med blålig misfarging, som følge av gjennomskinn fra en amalgamfylling.