Hvorfor trenger en tann fylling? Det finnes ulike årsaker til at en tann må repareres med en fylling. Den vanligste er hull i tennene (karies). Andre årsaker kan være tannfraktur eller fraktur av eldre fyllinger. Tidligere var amalgam og kompositt de to mest brukte fyllingsmaterialene. Etter 01.01.2008 ble det imidlertid forbudt å bruke amalgam, slik at det nå er kompositt alene som er det vanligste fyllingsmaterialet.
Hva er kompositt? Kompositt er et lettflytende plaststoff som er tilsatt mikroskopiske fyllpartikler for å oppnå rett styrke og konsistens. Kompositten er myk når den legges på plass i tannen og herder ved at man lyser på den med et sterkt blått lys. I forhold til amalgam, er en komposittfylling mer teknisk krevende å legge.
Kompositten kommer i mange forskjellige farger. Disse tilsvarer ulike tannfarger og gjør at det er mulig å lage estetisk pene fyllinger med dette materialet. Likevel kan kompositt ha enkelte begrensninger. Det kan for eksempel være for svakt der det utsettes for store tyggekrefter. I slike tilfeller kan man alternativt benytte et keramisk innlegg eller en keramisk krone.
Tannens oppbygging:
En tann består av flere lag. Ytterst har vi et sterkt, beskyttende lag kalt emalje. Deretter kommer et noe mykere lag kalt dentin. Lengst inne har vi nerver og blodkar, kalt pulpa. Et hull begynner som en skade i emaljen. Så lenge hullet er lite, kan det ofte holdes i sjakk med grundig renhold og fluorterapi. Dersom hullet vokser, vil det komme inn i dentinet. Her vil utviklingen gå raskere, og skaden må repareres med en fylling.
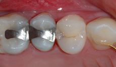
Eksempel trinn for trinn
1. Her ser vi et eksempel med en tann der kariesangrepet går inn i dentinet. På grunn av størrelsen, kan det ikke stoppes med grundig renhold og ekstra fluor. Det er derfor nødvendig å reparere tannen med en fylling.

2. Man borrer bort den dårlige tannsubstansen og rengjør hullet. Dersom dette oppleves smertefullt, kan man få bedøvelse ved behov.

3.Etter at hullet er rent, setter man på en forskaling (matrise) og klargjør tannen for fyllingen. Fyllingsmaterialet krymper når det herder. Det er derfor nødvendig å legge fyllingen i flere mindre porsjoner.

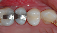
4. Når fyllingen er på plass, må den pusses og poleres slik at den blir glatt og lett å holde ren. Nå er tannen klar til bruk.
Hvor lenge varer en komposittfylling?Det er mange faktorer som avgjør hvor lenge en fylling varer:
Fyllingens størrelse og plassering på tannen – en liten fylling som er lett å holde ren kan forventes å holde lenger enn en stor fylling med vanskelig tilgjengelighet for renhold.
Pasientens bittforhold – om man gnisser eller presser tenner, utsettes både tenner og fyllinger for store krefter og fyllingens levetid kan reduseres.
Renhold og kosthold – å forebygge nye hull i tennene, vil øke fyllingenes levetid.
Tannlegens evne til å utnytte komposittens egenskaper og slik lage en best mulig fylling.